人工股関節
股関節の仕組み
股関節は、「寛骨臼」と呼ばれる骨盤の受け皿の部分と、「大腿骨頭」と呼ばれる大腿骨の球の部分からなる、いわゆる球関節です。正常な股関節は寛骨臼も大腿骨頭も表面は「関節軟骨」というクッションで覆われており、痛みなく滑らかに関節を動かすことができます。股関節は「関節包」という袋に包まれており、その中にある「関節液」という液体が潤滑油の働きをしています。
主な股関節の疾患
①変形性股関節症
何らかの原因で関節軟骨が摩耗して変性し、股関節が変形する疾患です。主な症状は、股関節の痛み、股関節の動きの制限、ひきずり足歩行(跛行)です。変形が進行すると、変形した側の脚(あし)の長さが短くなり、左右の脚の長さが違ってくることもあります。加齢や関節の使い過ぎなどによって起こる「一次性変形性股関節症」と、生まれつき寛骨臼のかぶりが浅いこと(臼蓋形成不全)が原因で起こる「二次性変形性股関節症」があります。欧米では一次性が大半を占めますが、日本では二次性が多いという特徴があります。寛骨臼のかぶりが浅いと、大腿骨頭を十分に覆うことができないため、関節軟骨の狭い範囲に負担が集中し、変形が進行しやすくなります。
②関節リウマチ
全身の関節に起こる炎症性の疾患です。原因はまだはっきりとは解明されていませんが、自己免疫疾患であると考えられています。自己免疫疾患とは、本来は異物を排除する免疫系が、自分自身の細胞を攻撃してしまうことで様々な症状を起こす疾患です。関節リウマチによる関節炎の主な症状は、こわばり、痛み、腫れなどですが、進行すると関節軟骨や骨が破壊され、股関節の変形を生じる場合もあります。
③大腿骨頭壊死症
大腿骨頭への血流障害によって骨が壊死する疾患です。ステロイド剤を多量に服用していたり、アルコール摂取量が多いと発生しやすいと言われていますが、原因が特定できない場合もあります。初期には症状はあまりありませんが、進行すると大腿骨頭が陥没し、寛骨臼の破壊も伴うようになり、歩行が困難になります。
人工股関節置換術
人工股関節置換術とは、傷んで変形した関節を人工の関節に置き換える手術です。人工関節の表面は滑らかで神経もないため、この手術を受けることによって、関節は滑らかに動くようになり、痛みもほとんど感じなくなります。痛みなく歩けるようになると、日常生活を送りやすくなり、生活の質(QOL)を改善することができます。

手術では、まず変形した大腿骨頭を根元から切除し、傷んだ寛骨臼の表面の骨を削って取り除きます。寛骨臼側には金属のカップを骨に固定し、そのカップの内側に超高分子量ポリエチレン製の人工の軟骨(ライナー)をはめ込みます。大腿骨側には杭状の金属(ステム)を骨の中に挿入し、その先にセラミック製の人工の骨頭(ヘッド)を設置します。人工股関節はライナーとヘッドの間で滑らかに動く構造になっています。
人工股関節を骨に固定する方法には、「骨セメントを使用しない方法(セメントレス固定)」と「骨セメントを使用する方法(セメント固定)」の2種類があります。当院では、患者さんの年齢、骨の質、変形の程度などによって最適な方法を選択しています。
変形が非常に強いと、骨が欠損していることがあります。人工関節を支える骨が足りない場合、切除した大腿骨頭から採取した骨(自家骨)や人工骨を移植することがあります。
手術時間は変形の程度などによって違いますが、約1.5~2時間程度です。麻酔の時間、手術の準備の時間、術後レントゲン撮影の時間などを含めると、手術室の中にいる時間は約3時間程度です。
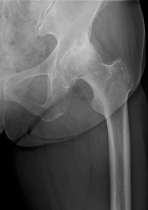
![]() 術前レントゲン |
![]() 術後レントゲン |
3次元の術前計画
最適な位置に最適なサイズの人工股関節を設置するためには術前計画が非常に重要です。従来の方法では2次元のレントゲン画像を用いていましたが、当院では術前に撮影したCTの画像データをコンピューターに取り込み、コンピューター上で3次元の術前計画を立てています。
最小侵襲前方進入法(AMIS)
股関節にはさまざまな進入法(どこからどのようにして股関節まで到達するか)があり、同じ人工股関節置換術でも病院によって進入法が異なります。国内でもっとも多く使用されているのは後方進入法です。後方進入法は展開が良いことが利点ですが、股関節の後方の筋肉と関節包(関節の袋)を切離しなければならず、脱臼率が高いという欠点があります。

2000年代初頭より国内でも、筋肉を切離しない最小侵襲手術(MIS(エムアイエス):Minimally Invasive Surgery)が徐々に普及してきました。MISにもいくつかの方法がありますが、当院では大半の症例で最小侵襲前方進入法(AMIS(エイミス):Anterior Minimally Invasive Surgery)という進入法を使用しています。AMISは、筋肉を一切切離しないだけでなく、筋肉以外の軟部組織も可能な限り温存する特殊な進入法です。関節包(関節の袋)をV字に切開して”窓”を開け、その”窓”の隙間から人工股関節を設置します。関節包の外にはほとんど侵襲を加えずに手術操作をするため、他のMISよりもさらに低侵襲であり、術後の痛みが少なく、早期回復が期待できます。皮膚切開の長さは体格や変形の程度などによって違いますが、約7~9cm程度です。AMISはフランスで開発された進入法で、国内でも注目され徐々に広まっています。ただし、股関節の変形の程度によってはAMISでは行えない場合もあります。
手術を受ける前に
①インフォームドコンセント(説明と同意)
手術に関して十分に理解した上で、手術を受けていただくことが大切です。何か疑問がある場合は、遠慮なくお聞きください。治療方針に関して他の施設の意見(セカンドオピニオン)を希望される場合はお申し出ください。
②術前検査
手術をできるだけ安全に受けていただくために、術前に血液検査、尿検査、心電図、レントゲンなどの検査をします。検査結果次第では、より精密な検査を受けていただいたり、他の診療科を受診していただくこともあります。
③お薬の確認
服用中のお薬を確認します。血液をさらさらにするお薬など、手術の前後に一時的に服用を中止する必要のあるお薬もあります。入院中も内科医の診察が必要な場合は、内科の担当医も併診いたします。
手術に伴う合併症、リスクについて
100%安全な手術というのはあり得ません。どのような手術でもリスクは伴います。当院では安全管理には十分注意を払っていますが、以下のような合併症が起こる可能性があります。もし何か合併症が起こった際には、他の診療科とも連携して必要な検査や治療を行います。
①出血
人工関節の手術では骨を削る必要があり、術中に削った骨の表面からある程度の出血を生じます。当院では止血方法を工夫しており、輸血が必要になるほど貧血が進行することはほとんどありませんが、どうしても対応できない場合は通常の輸血(同種血輸血)が必要になることがあります。
②感染
まれに術後に細菌感染を起こすことがあります。一度感染を起こすと、長期間の抗生剤の投与が必要になったり、場合によっては再手術が必要になることもあります。
③術中骨折
人工股関節を骨に設置する際、骨がもろいと骨折(ひび)を起こすことがあります。もし術中に骨折した場合、追加の固定が必要になることがあります。また、体重をかける時期を遅らせることもあります。
④下肢深部静脈血栓症、肺塞栓症
術中または術後に脚の血流が悪くなり、静脈に血栓(血の塊)ができることがあります(エコノミークラス症候群)。静脈の壁から血栓がはがれ、血流に乗って肺の血管をふさいでしまうと生命に関わる可能性もあります(肺塞栓症)。血栓の予防のため、術後早期からよく足を動かすことが重要です。当院ではさらに、弾性ストッキング、フットポンプ(脚を自動的にマッサージする器械)、抗凝固薬(血を固まりにくくする薬)などを使って予防しています。
⑤神経損傷
皮膚の表面にも細い神経が通っており、手術の際に完全に保護することは難しいです。術後に創の周りがしびれたり、皮膚の感覚が鈍くなったりすることがあります。多くの場合は時間とともに軽減しますが、完全に回復しないこともあります。
⑥下肢長の変化
術前に変形した側の脚(あし)の長さが短くなっている場合には、術中にできるだけ左右の脚の長さが同じになるように調整します。ただし、股関節の変形の程度によっては、左右の脚の長さをそろえられないこともあります。また、測定上同じ脚の長さになっても、リハビリの初期の段階では違和感を感じることがあります。
⑦脱臼
人工股関節は正常な股関節より骨頭が小さいため、まれに脱臼することがあります。脱臼のリスクを減らすために重要なことは、できるだけ股関節の周りの筋肉や関節包(関節の袋)を温存し、人工股関節を正確な位置に設置することです。当院で使用している最小侵襲前方進入法(AMIS)は、筋肉を一切切離しないだけでなく、関節包も可能な限り温存しているため、脱臼しにくい進入法です。症例によって主治医から説明しますが、当院では術後の姿勢や運動に特に制限は行っていません。
⑧人工関節のゆるみ、摩耗
人工関節の材質は以前のものよりも向上していますが、術後に少しずつ人工関節が擦り減ったり、ゆるんだりすることがあります。術後の活動性、筋力、体重などによって違いますが、一般的には人工関節の寿命は20~30年程度と言われています。もし擦り減ったり、ゆるんだりした場合は、人工股関節を入れ替える手術(人工股関節再置換術)が必要になることがあります。また、人工関節の周囲の骨が弱くなってくると、転倒した際に人工関節周囲での骨折を生じることがあります。
術後~退院まで
基本的には入院スケジュール表(クリニカルパス)に従って、術後のリハビリや検査(レントゲン、採血など)を行います。術翌日から立位訓練や可動域訓練を行います。年齢、術前の股関節の変形の程度や筋力などによって、術後の経過には個人差があります。入院期間は術後平均2~3週間程度ですが、歩行が安定していれば早期の退院も可能です。長期の入院リハビリを希望される場合は、地域包括ケア病棟での入院リハビリを継続することも可能ですのでご相談ください。
退院後について
退院したら治療が終わるわけではありません。自宅での生活に少しずつ慣れていくこともリハビリです。退院後は洋式の生活(椅子、テーブル、ベッド、洋式トイレなど)が望ましいですが、十分に注意すれば和式の生活(布団など)も可能です。また、長期間安心して過ごしていただくには、調子が良くても定期的に病院で検診を受けることが重要です。



